web_asma_resistente_tratamiento.webp

Caso clínico interactivo

Asma resistente al tratamiento

Características y abordaje de pacientes con asma resistente al tratamiento convencional.


  • Presentación del caso y motivo de consulta

    Paciente masculino de 35 años con diagnóstico de asma desde la infancia. El paciente ha seguido un tratamiento convencional con broncodilatadores de acción prolongada y corticosteroides inhalados durante los últimos 5 años con control parcial de los síntomas. En los últimos 6 meses ha experimentado una exacerbación de la enfermedad a pesar del apego al tratamiento. El paciente refiere disnea progresiva, sibilancias frecuentes y tos productiva, exacerbadas durante la noche y al realizar actividad física moderada. Refiere que los síntomas han persistido a pesar de seguir estrictamente el tratamiento prescrito.

    Paciente masculino de 35 años con diagnóstico de asma desde la infancia. El paciente ha seguido un tratamiento convencional con broncodilatadores de acción prolongada y corticosteroides inhalados durante los últimos 5 años con control parcial de los síntomas. En los últimos 6 meses ha experimentado una exacerbación de la enfermedad a pesar del apego al tratamiento. El paciente refiere disnea progresiva, sibilancias frecuentes y tos productiva, exacerbadas durante la noche y al realizar actividad física moderada. Refiere que los síntomas han persistido a pesar de seguir estrictamente el tratamiento prescrito.

  • Exploración física

    • En la exploración física se observa disena leve al hablar, con uso leve de los músculos accesorios en inspiración

    Signos vitales:

    • FR: 22 lpm
    • SpO2: 94%
    • FC: 96 lpm
    • Se auscultan sibilancias bilaterales, mayor en bases pulmonares

  • Estudios complementarios

    • Los estudios iniciales de laboratorio muestran hemograma completo normal, leve eosinofilia (6%), IgE sérica elevada (220 UI/mL)
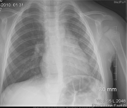
    • En la radiografía de tórax no se encuentran signos de consolidación o infiltrados, leve hiperinsuflación pulmonar derecha
    • Se realizan pruebas de función pulmonar, el volumen espiratorio forzado en el primer segundo (FEV1) 65% del valor predicho, el índice FEV1/FVC 60%

  • Pregunta

    ¿Cuál es el mecanismo fisiopatológico detrás del asma resistente a tratamiento?

    1. A.
    2. B.
    3. C.
    4. D.
  • Discusión

    En pacientes con asma resistente, uno de los desafíos clave es la inflamación eosinofílica persistente, lo que contribuye a la falta de respuesta a los corticosteroides inhalados. Esta resistencia puede deberse a múltiples factores, incluyendo una mayor actividad inflamatoria, alteraciones en la remodelación de las vías respiratorias o incluso una incorrecta técnica de inhalación. El Meticortelone®, un corticosteroide sistémico, es una opción terapéutica que actúa de manera más potente en la reducción de la inflamación en estos pacientes. A diferencia de los corticosteroides inhalados, que tienen un efecto local, los sistémicos suprimen de manera más generalizada la respuesta inflamatoria. En el caso de nuestro paciente, el uso de Meticortelone® en una dosis inicial de 5 mg al día puede ayudar a reducir rápidamente la inflamación eosinofílica, mejorar la función pulmonar y, lo más importante, prevenir nuevas exacerbaciones. Además, en este tipo de pacientes, podría considerarse el uso de terapias biológicas dirigidas a la IgE o a los eosinófilos, sobre todo si los corticosteroides sistémicos no logran el control adecuado de la enfermedad o si el paciente tiene un perfil específico, como la presencia de niveles elevados de IgE y eosinofilia persistente.

  • Referencias

    Chung KF. Diagnosis and management of severe asthma. Semin Respir Crit Care Med [Internet]. Febrero del 2018 (consultado el 21 de octubre del 2024);39(1):91-99. Disponible en DOI:10.1055/s-0037-1607391. Trevor JL, Deshane JS. Refractory asthma: mechanisms, targets, and therapy. Allergy [Internet]. Julio del 2014 (consultado el 21 de octubre del 2024);69(7):817-27. Disponible en doi:10.1111/all.12412. Williams DM. Clinical pharmacology of corticosteroids. Respir Care [Internet]. Junio del 2018 (consultado el 21 de octubre del 2024);63(6):655-70. Disponible en DOI:10.4187/respcare.06314.

El contenido disponible en esta plataforma, incluyendo calculadoras, atlas, algoritmos, casos clínicos interactivos, podcasts y materiales audiovisuales es de carácter informativo y educativo. No sustituye el criterio clínico ni la consulta médica profesional. El uso de la información es responsabilidad del usuario