web_ataque_agudo_gota.webp

Caso clínico interactivo

Ataque agudo de gota

Presentación y abordaje clínico de un ataque agudo de gota.


CEO Profile

Autor: Dra. Heidyxer Osorio Ochoa

Médico cirujano de la Universidad Nacional Autónoma de México, investigadora clínica, editora en grupo PLM.

  • Presentación del caso y motivo de consulta

    Hombre de 35 años acude a consulta en el primer nivel de atención por referir que hoy por la mañana apareció un aumento de volumen en primer dedo del pie izquierdo. Menciona que el día previo ingirió excesivamente alcohol y mariscos, niega otros antecedentes de importancia.

    Hombre de 35 años acude a consulta en el primer nivel de atención por referir que hoy por la mañana apareció un aumento de volumen en primer dedo del pie izquierdo. Menciona que el día previo ingirió excesivamente alcohol y mariscos, niega otros antecedentes de importancia.

  • Exploración física

    Inflamación articular con enrojecimiento, dolor que se incrementa con la movilidad y aumento de la temperatura. Sensibilidad y pulsos periféricos presentes, resto de la exploración sin datos relevantes.

    Inflamación articular con enrojecimiento, dolor que se incrementa con la movilidad y aumento de la temperatura. Sensibilidad y pulsos periféricos presentes, resto de la exploración sin datos relevantes.

    Signos vitales:

    • Temperatura: 37 °C
    • TA: 125/74 mmHg
    • FC: 80/min
    • FR: 20/min
    • SpO2: 98% en aire ambiente

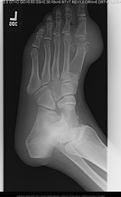
  • Estudios complementarios

    • Laboratorios con hemoglobina: 12.4 g/dL, leucocitos: 11 mil, plaquetas: 390 mil, PCR 35 mg/L, ácido úrico 7.3 mg/dL
    • Se solicitó una radiografía oblicua del pie izquierdo con datos de erosión severa de la cabeza del primer metatarsiano, saliente del margen óseo, tofo suprayacente, ausencia de estrechamiento significativo del espacio articular.

  • Pregunta

    ¿Cuál de los siguientes no es un fármaco uricosúrico?

    1. A.
    2. B.
    3. C.
    4. D.
  • Discusión

    La gota es una enfermedad metabólica caracterizada por artritis monoarticular o poliarticular, en la cual existen depósitos de cristales de urato monosódico en diferentes tejidos como en la sinovia, bursas, tendones y riñones, siendo resultado del aumento sostenido de ácido úrico en plasma (> 6.8 mg/dL). Afecta entre el 1-2% de los adultos y es la artropatía inflamatoria más común en los hombres. Existe una asociación de los factores de riesgo para la hiperuricemia y gota de acuerdo con el género y edad: en el grupo de los 20 a los 39 años el riesgo principal es la hiperlipidemia; de los 40 a los 59 años el consumo de alcohol y afecta mayoritariamente a los hombres.1 El consumo de alcohol y la obesidad central son factores predictores independientes de gota entre los sujetos que tienen hiperuricemia sin importar el nivel de ácido úrico. La historia natural de la hiperuricemia y la gota puede clasificarse en cuatro etapas:

    Etapa 1: hiperuricemia asintomática.

    Etapa 2: ataque agudo de gota (como el expuesto en este caso).

    Etapa 3: periodo intercrítico.

    Etapa 4: gota avanzada.2

    Los pacientes con gota aguda generalmente requieren iniciar con un agente antiinflamatorio sistémico, como un glucocorticoide, un AINE, colchicina o un inhibidor de la interleucina-1. Todas estas son opciones de tratamiento efectivas y deben ponerse en marcha tan pronto como sea posible después del inicio del brote. Se recomienda, después de dos semanas, empezar la terapia de reducción de urato para el manejo crónico con inhibidores de la xantina oxidasa como alopurinol (Zyloprim®) o febuxostat. Los uricosúricos que propician la eliminación urinaria de ácido úrico reduciendo su concentración en plasma y son el probencid, sulfinpirazona y benzobromarona, estos están contraindicados en casos con nefrolitiasis y son ineficaces cuando el paciente presenta insuficiencia renal.3

  • Referencias

    Scuiller A, Pascart T, Bernard A, Oehler E. La maladie goutteuse [Gout]. Rev Med Interne [Internet]. Julio de 2020 (consultado el 20 de noviembre de 2024); 41(6):396-403. Disponible en: https://doi.org/10.1016/j.revmed.2020.02.014 Vargas-Santos AB, Taylor WJ, Neogi T. Gout Classification Criteria: Update and Implications. Curr Rheumatol Rep [Internet]. Julio de 2026 (consultado el 20 de noviembre de 2024); 18(7):46. Disponible en: https://doi.org/10.1007/s11926-016-0594-8 Khanna D, Fitzgerald JD, Khanna PP, Bae S, Singh MK, Neogi T, et al. 2012 American College of Rheumatology guidelines for management of gout. Part 1: systematic nonpharmacologic and pharmacologic therapeutic approaches to hyperuricemia. Arthritis Care Res (Hoboken) [Internet]. Octubre de 2012. (consultado el 20 de noviembre de 2024);64(10):1431-46. Disponible en: https://doi.org/10.1002/acr.21772

El contenido disponible en esta plataforma, incluyendo calculadoras, atlas, algoritmos, casos clínicos interactivos, podcasts y materiales audiovisuales es de carácter informativo y educativo. No sustituye el criterio clínico ni la consulta médica profesional. El uso de la información es responsabilidad del usuario