Caso clínico interactivo
Claudicación en miembro superior
Abordaje diagnóstico y terapéutico de la claudicación en miembro superior.
-
Presentación del caso y motivo de consulta
Mujer de 35 años, diseñadora de interiores, previamente sana y sin antecedentes heredofamiliares de relevancia.
Mujer de 35 años, diseñadora de interiores, previamente sana y sin antecedentes heredofamiliares de relevancia.Acude a consulta porque desde hace 4 meses presenta fatiga y dolor de forma intermitente en el brazo izquierdo acompañado de entumecimiento y coloración morada de los dedos. Refiere que el cuadro empeora con el clima frío o durante la actividad física, pero sin relación con la posición.
Acude a consulta porque desde hace 4 meses presenta fatiga y dolor de forma intermitente en el brazo izquierdo acompañado de entumecimiento y coloración morada de los dedos. Refiere que el cuadro empeora con el clima frío o durante la actividad física, pero sin relación con la posición. -
Exploración física
No se aprecian cambios en la piel o dolor durante la exploración. Se palpa pulso braquial izquierdo débil y radial muy poco perceptible, pulsos derechos normales. Precordio rítmico, soplo en subclavia derecha durante la auscultación.
No se aprecian cambios en la piel o dolor durante la exploración. Se palpa pulso braquial izquierdo débil y radial muy poco perceptible, pulsos derechos normales. Precordio rítmico, soplo en subclavia derecha durante la auscultación.Signos vitales:
- FC: 89 lpm
- TA 120/78 mm Hg en brazo derecho y 100/60 mm Hg en brazo izquierdo
- SpO2: 96%
-
Estudios complementarios
- La citología hemática, la química sanguínea y los electrolitos son normales.
- VSG y PCR están elevadas.
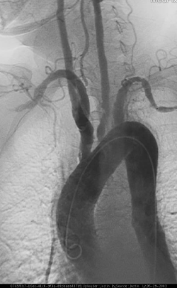
Hallazgos:
- Se solicita una angiografía y se observa lo siguiente:
-
Pregunta
¿Cuál de las siguientes enfermedades es más probable en su caso?:
-
Discusión
La arteritis de Takayasu (AT) es una vasculitis inflamatoria sistémica, rara, de naturaleza granulomatosa y de etiología aún desconocida. Afecta principalmente a la aorta y sus ramas principales, se observa con mayor frecuencia en mujeres en edad fértil y asiáticas. La TA conduce a estenosis, oclusión o degeneración aneurismática de las grandes arterias.1
Los principales signos y síntomas en pacientes con AT incluyen: claudicación de las extremidades, diferencia de la presión arterial entre los brazos (> 10 mm Hg), pulsos disminuidos o ausentes, presencia de soplos arteriales, carotidinia, fiebre, pérdida de peso, ataque al estado general, cefalea, mialgias, artralgias, isquemia cerebral, mareo, hipertensión arterial, alteraciones visuales, angina, tos, disnea, infarto del miocardio e hipertensión pulmonar.2 Se recomienda tener una alta sospecha de AT en pacientes jóvenes < de 40 años, con elevación inexplicable de reactantes de fase aguda.3
La angiografía ha sido considerada como estándar de oro para el diagnóstico de enfermedades vasculares que producen anormalidades del lumen; sin embargo, se sugiere el uso de la resonancia magnética para visualizar etapas tempranas de la enfermedad con alta precisión y debe ser considerado uno de los métodos de imagen de elección para el diagnóstico de arteritis de Takayasu.2
El tratamiento inicial es con corticoides y metrotexato, el definitivo es con angioplastia posterior al control de la inflamación.1
-
Referencias
Serra R, Butrico L, Fugetto F, Chibireva MD, Malva A, De Caridi G et al. Updates in Pathophysiology, Diagnosis and Management of Takayasu Arteritis. Ann Vasc Surg. [Internet] Agosto de 2016. (consultado el 18 de diciembre del 2023);35:210-25. Disponible en: DOI: 10.1016/j.avsg.2016.02.011 Abordaje clínico y estudios diagnósticos en Arteritis de Takayasu, México: Instituto Mexicano del Seguro Social, 2011. (consultado el 18 de diciembre del 2023). Disponible en: https://www.imss.gob.mx/sites/all/statics/guiasclinicas/423GER.pdf Calabrese LH, Michel BA, Bloch DA, Arend WP, Edworthy SM, Fauci AS, et al. The American College of Rheumatology 1990 criteria for the classification of hypersensitivity vasculitis. Arthritis Rheum. [Internet] Agosto de 1990. (consultado el 18 de diciembre del 2023);33(8):1108-13. Disponible en: DOI: 10.1002/art.1780330808.
El contenido disponible en esta plataforma, incluyendo calculadoras, atlas, algoritmos, casos clínicos interactivos, podcasts y materiales audiovisuales es de carácter informativo y educativo. No sustituye el criterio clínico ni la consulta médica profesional. El uso de la información es responsabilidad del usuario