web_enfermedad_crohn.webp

Caso clínico interactivo

Enfermedad de Crohn

En este caso clínico se repasan las posibles complicaciones de la enfermedad de Crohn.


CEO Profile

Autor: Dra. Heidyxer Osorio Ochoa

Médico cirujano de la Universidad Nacional Autónoma de México, investigadora clínica, editora en grupo PLM.

  • Presentación del caso y motivo de consulta

    Paciente femenino de 38 años de ascendencia judía, habitante de la CDMX con antecedentes de uso de estrógenos desde hace 4 años, acude al servicio de urgencias debido a dolor abdominal asociado a diarrea de 6 meses de evolución, refiere en ocasiones fiebre, además ha presentado pérdida de peso de 5 kg desde el inicio de los síntomas. Niega relación de los síntomas con la alimentación.

    Se realiza una endoscopia con toma de biopsia que reporta lesiones transmurales con patrón “empedrado” y granulomas no caseificantes.

  • Exploración física

    A la exploración física presenta aftas orales, abdomen distendido y doloroso, fistula anal con salida de secreción purulenta, así como abscesos en la misma región.

     

    Signos vitales:

    • Temperatura: 38.3 °C
    • TA: 120/90 mmHg
    • FC: 105 lpm
    • FR: 22 rpm

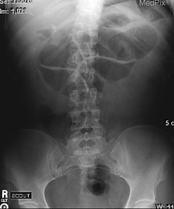
  • Estudios complementarios

    En los exámenes de laboratorio llama la atención la presencia de leucocitosis, elevación de VSG y PCR, así como anemia normocítica hipocrómica. En la radiografía de abdomen encontramos lo siguiente.

  • Pregunta

    La complicación más frecuente de la enfermedad de Crohn es:

    1. A.
    2. B.
    3. C.
    4. D.
    5. E.
  • Discusión

    El término de enfermedad inflamatoria crónica del tracto gastrointestinal, se caracteriza por la inflamación transmural que puede afectar cualquier parte del sistema digestivo, desde la boca hasta el ano. Se presenta con brotes de síntomas como dolor abdominal, diarrea, pérdida de peso y fatiga. Las características anatomopatológicas diferenciales pueden ayudar a deducir fácilmente la complicación más frecuente de cada una de ellas. Las úlceras superficiales de la colitis ulcerosa condicionan su síntoma o signo más frecuente: la diarrea sanguinolenta. Sin embargo, en el Crohn, la diarrea muchas veces no va acompañada de sangre. Lo característico de éste es la afectación transmural, que condiciona la obstrucción, tanto en fases iniciales por el edema, como en fases finales pues la inflamación transmural conduce a fibrosis.

    La distribución topográfica del Crohn, con 30% íleon, 30% íleon y colon a la vez y 40% sólo intestino delgado, además de la mayor facilidad del intestino delgado para la obstrucción (simplemente por su diámetro) (respuesta correcta B), hacen que ésta sea la complicación más frecuente del Crohn. El tratamiento de la enfermedad de Crohn se divide en dos fases: inducción y mantenimiento. En la fase de inducción se utilizan esteroides (prednisona 1 mg/kg/día) en la fase de mantenimiento se utiliza azatioprina (2-2.5 mg/kg/día). Dependiendo de la respuesta a este tratamiento se pueden utilizar diversos fármacos como los biológicos. En situaciones muy avanzadas se puede requerir el abordaje quirúrgico.1

  • Referencias

    1. Veauthier B, Hornecker JR. Crohn’s Disease: Diagnosis and Management. Am Fam Physician [Internet]. 1 de diciembre de 2018 (consultado el 17 de octubre del 2024);98(11):661–9. Disponible en: https://pubmed.ncbi.nlm.nih.gov/30485038/

El contenido disponible en esta plataforma, incluyendo calculadoras, atlas, algoritmos, casos clínicos interactivos, podcasts y materiales audiovisuales es de carácter informativo y educativo. No sustituye el criterio clínico ni la consulta médica profesional. El uso de la información es responsabilidad del usuario