Caso clínico interactivo
Osteoporosis
Prevención, diagnóstico y opciones terapéuticas frente a la pérdida de densidad ósea.
Autor: Dr. Alfredo Bonilla Suastegui
Médico Cirujano de la Universidad Autónoma de Guerrero. Investigador clínico. Editor en grupo PLM
-
Presentación del caso y motivo de consulta
Mujer de 62 años, antecedente de menopausia a la edad de 49, diagnosticada a los 35 con artritis reumatoide, tratada con prednisona y metotrexato, fumadora desde los 20 años a razón de 10 cigarrillos al día, acude a consulta porque hace dos horas tuvo una caída desde su propia altura y desde entonces presenta dolor 9/10 e inflamación en la mano derecha.
Mujer de 62 años, antecedente de menopausia a la edad de 49, diagnosticada a los 35 con artritis reumatoide, tratada con prednisona y metotrexato, fumadora desde los 20 años a razón de 10 cigarrillos al día, acude a consulta porque hace dos horas tuvo una caída desde su propia altura y desde entonces presenta dolor 9/10 e inflamación en la mano derecha. -
Exploración física
Signos vitales:
- FC: 109 lpm
- FR: 23 rpm
- SpO2: 92%
- TA: 140/90
- Peso: 90 kg
- Talla: 1.60 m (menciona que antes medía 1.66 m)
- Paciente orientada y cooperadora, facies dolorosa, se aprecia aumento de volumen y deformidad de la mano y muñeca derecha con forma de "dorso de tenedor".
-
Estudios complementarios
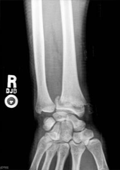
- Se solicita una radiografía AP de la muñeca derecha y se observa lo siguiente:
-
Pregunta
Según las características de la paciente es posible integrar un diagnóstico clínico de osteoporosis y fractura de Colles en la muñeca derecha. De las siguientes opciones, ¿cuál no es un factor de riesgo para la osteoporosis?
-
Discusión
La osteoporosis se caracteriza por una masa ósea baja, alteración de la microarquitectura y fragilidad esquelética, lo que resulta en una disminución de la resistencia ósea y un mayor riesgo de fractura. La mayoría de las mujeres posmenopáusicas con osteoporosis presentan una pérdida ósea relacionada con la deficiencia de estrógenos y/o la edad, entre otros factores, como el tabaquismo, la deficiencia de calcio y vitamina D, así como la ingesta de glucocorticoides, anticonvulsivos e inmunosupresores. El tratamiento de elección es con bifosfonatos o agonistas de receptores estrogénicos (raloxifeno) además de la suplementación con calcio y vitamina D a todas las pacientes.
-
Referencias
Rosen CJ. Clinical practice. Postmenopausal osteoporosis. N Engl J Med. [Internet]. 11 de agosto del 2005 (consultado el 7 de enero del 2025);353(6):595-603. Disponible en: http://dx.doi.org/10.1056/NEJMcp043801 Instituto Mexicano del Seguro Social. Diagnóstico y tratamiento de osteoporosis en mujeres posmenopáusicas. Guía de Evidencias y Recomendaciones: Guía de Práctica Clínica. México, CENETEC; 2018 (consultado el 11 de abril del 2024). Disponible en: https://www.imss.gob.mx/sites/all/statics/guiasclinicas/673GER.pdf
El contenido disponible en esta plataforma, incluyendo calculadoras, atlas, algoritmos, casos clínicos interactivos, podcasts y materiales audiovisuales es de carácter informativo y educativo. No sustituye el criterio clínico ni la consulta médica profesional. El uso de la información es responsabilidad del usuario